Jonathan Murgraff

MSc (Endodontics) BDS LDS RCS

  • 28 Rundell Crescent, Hendon NW4 3BP
  • jmurgraff@aol.com
  • (020) 7486 3090
  • Home
  • About Me
  • My Practice
  • What Is Endodontics?
  • Testimonials
  • Cases
  • Publications
  • Ask A Question
  • Contact Us

Cases

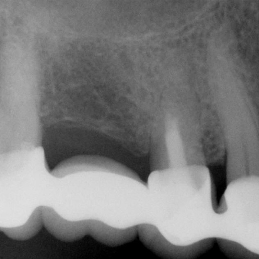
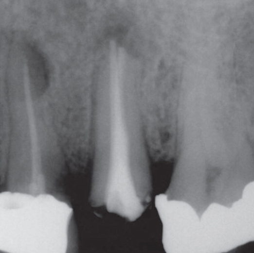
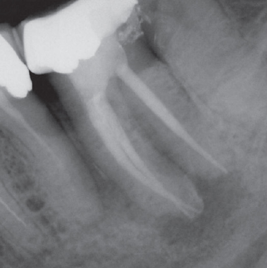
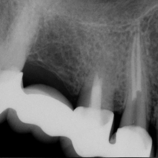
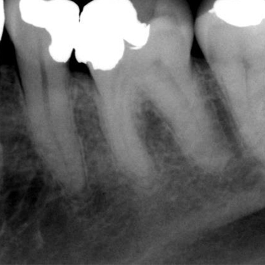
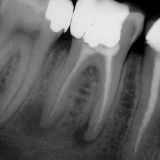
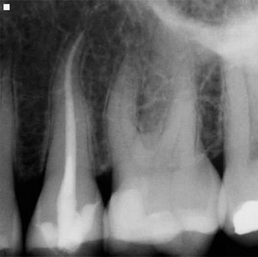
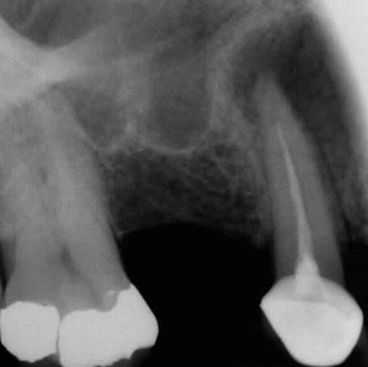
Before

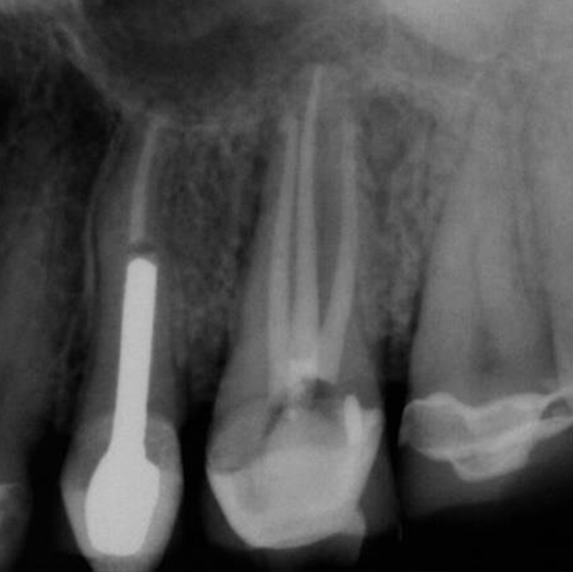
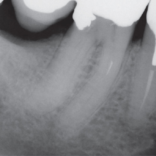
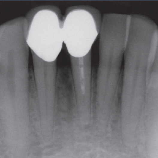
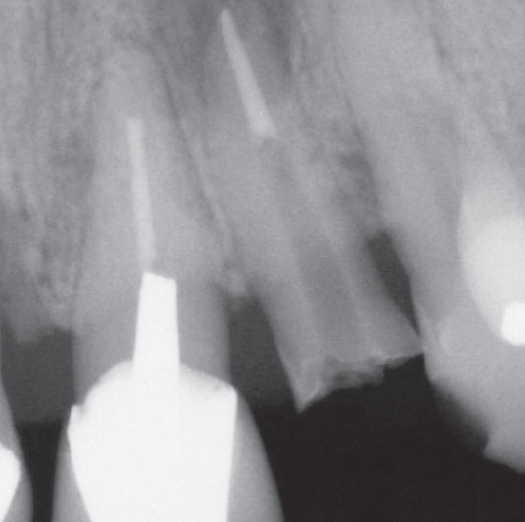
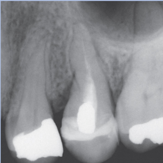
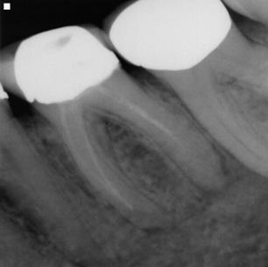
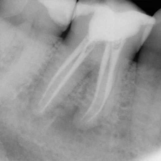
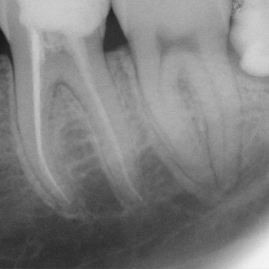
After

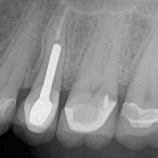
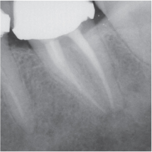
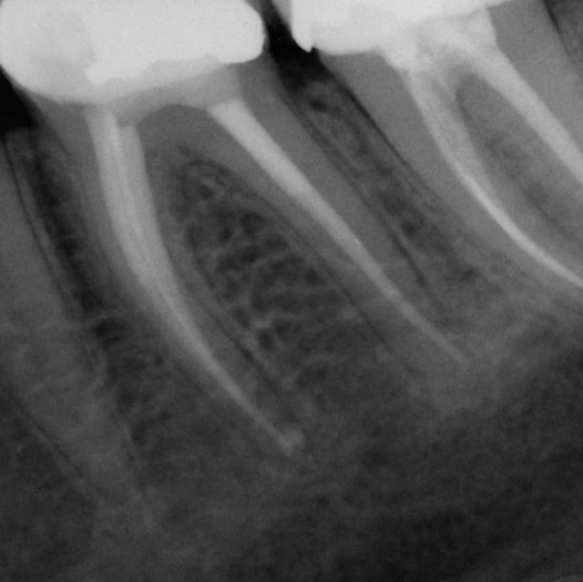
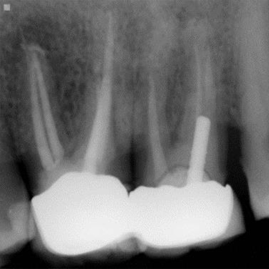
Before Root Canal treatment
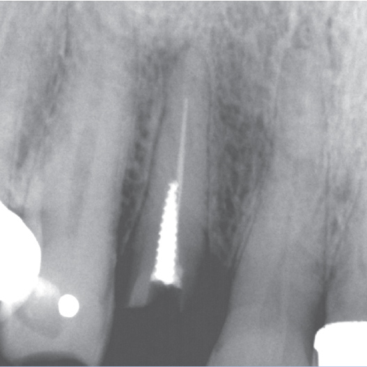
After Root Canal treatment

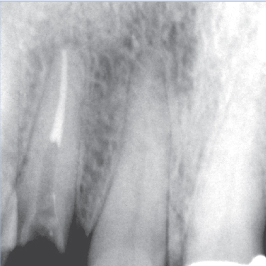
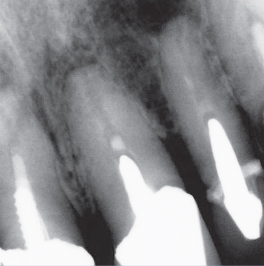
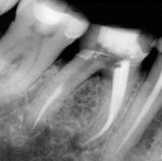
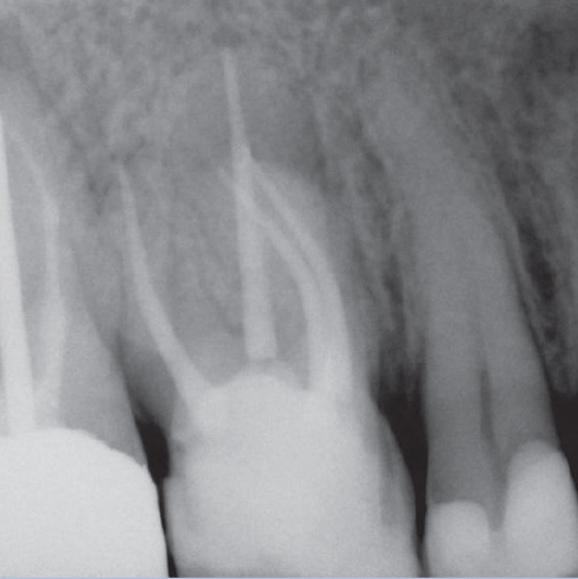
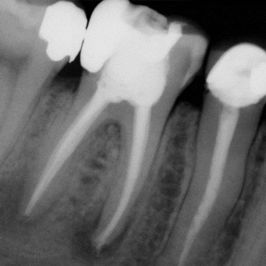
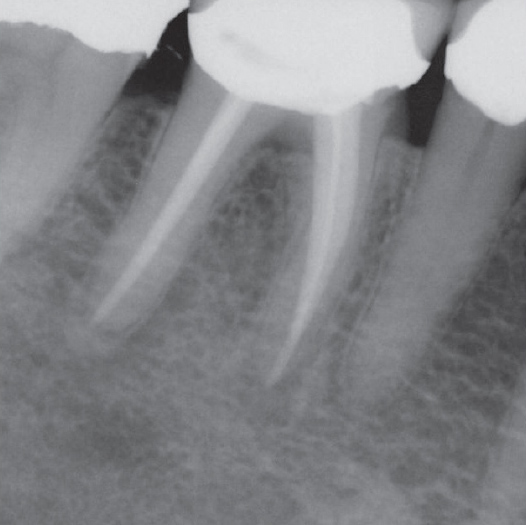
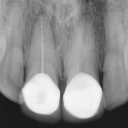
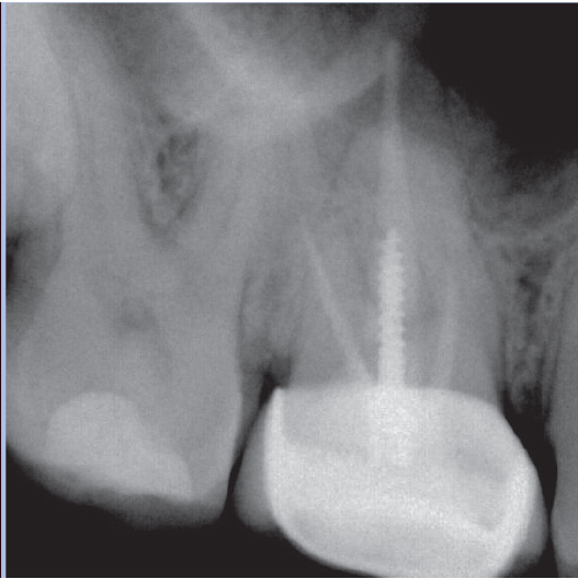
Before

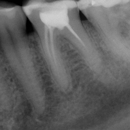
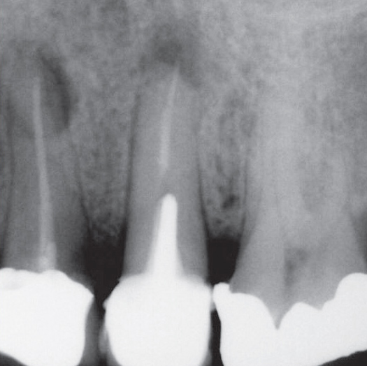
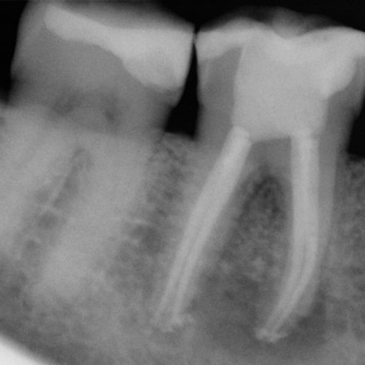
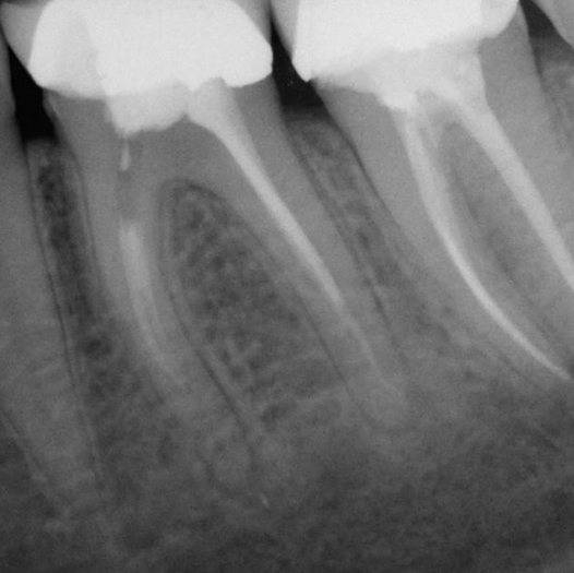
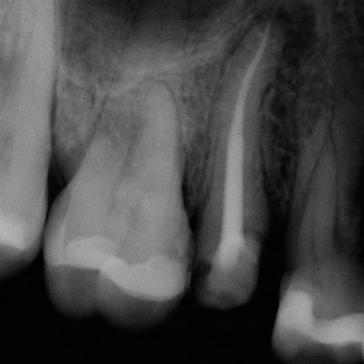
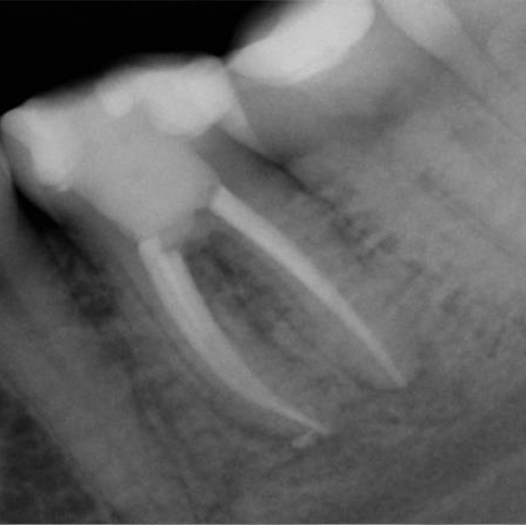
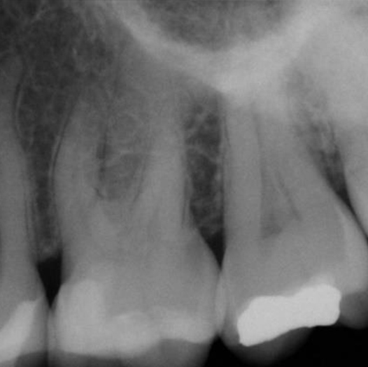
After

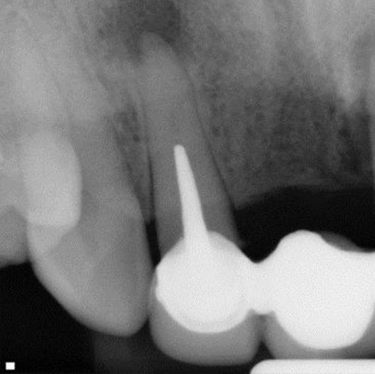
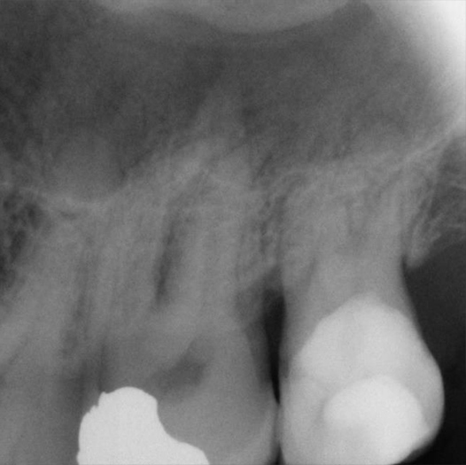
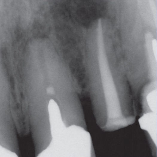
Before Root Canal treatment
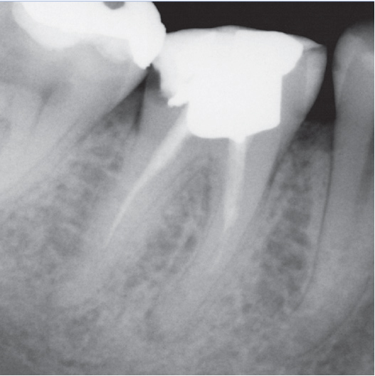
After Root Canal treatment

Before

After

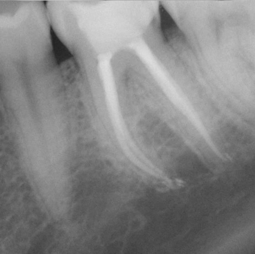
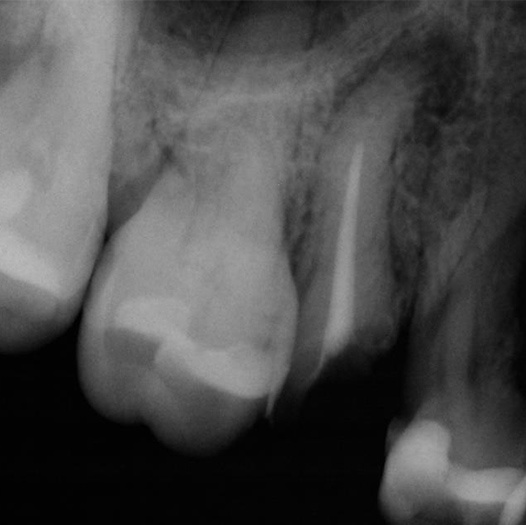
Before Root Canal treatment
After Root Canal treatment

Before

After

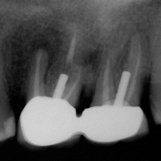
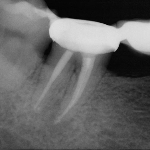
Before Root Canal treatment
After Root Canal treatment

Before

After

Before Root Canal treatment
After Root Canal treatment

Before

After

Before Root Canal treatment
After Root Canal treatment

Before

After

Before Root Canal treatment
After Root Canal treatment

Before

After

Before Root Canal treatment
After Root Canal treatment

Before

After

Before Root Canal treatment
After Root Canal treatment

Before

After

Before Root Canal treatment
After Root Canal treatment

Before

After

Before Root Canal treatment
After Root Canal treatment

Before

After

Before Root Canal treatment
After Root Canal treatment

Before

After

Before Root Canal treatment
After Root Canal treatment

Before

After

Before Root Canal treatment
After Root Canal treatment

Before

After

Before Root Canal treatment
After Root Canal treatment

Before

After

Before Root Canal treatment
After Root Canal treatment

Before

After

Before Root Canal treatment
After Root Canal treatment

Before

After

Before Root Canal treatment
After Root Canal treatment

Before

After

Before Root Canal treatment
After Root Canal treatment

Before

After

Before Root Canal treatment
After Root Canal treatment

Before

After

Before Root Canal treatment
After Root Canal treatment

Before

After

Before Root Canal treatment
After Root Canal treatment

Before

After

Before Root Canal treatment
After Root Canal treatment

Before

After

Before Root Canal treatment
After Root Canal treatment

Before

After

Before Root Canal treatment
After Root Canal treatment

Before

After

Before Root Canal treatment
After Root Canal treatment

Before

After

Before Root Canal treatment
After Root Canal treatment

Before

After

Before Root Canal treatment
After Root Canal treatment

Before

After

Before Root Canal treatment
After Root Canal treatment

Before

After

Before Root Canal treatment
After Root Canal treatment

Before

After

Before Root Canal treatment
After Root Canal treatment

Before

After

Before Root Canal treatment
After Root Canal treatment

Before

After

Before Root Canal treatment
After Root Canal treatment

Before

After

Before Root Canal treatment
After Root Canal treatment

Before

After

Before Root Canal treatment
After Root Canal treatment

Before

After

Before Root Canal treatment
After Root Canal treatment

Before

After

Before Root Canal treatment
After Root Canal treatment

Before

After

Before Root Canal treatment
After Root Canal treatment

Before

After

Before Root Canal treatment
After Root Canal treatment

Before

After

Before Root Canal treatment
After Root Canal treatment

Before

After

Before Root Canal treatment
After Root Canal treatment

Before

After

Before Root Canal treatment
After Root Canal treatment

Before

After

Before Root Canal treatment
After Root Canal treatment

Before

After

Before Root Canal treatment
After Root Canal treatment

Before

After

Before Root Canal treatment
After Root Canal treatment

Before

After

Before Root Canal treatment
After Root Canal treatment

Before

After

Before Root Canal treatment
After Root Canal treatment

Before

After

Before Root Canal treatment
After Root Canal treatment

Before

After

Before Root Canal treatment
After Root Canal treatment

Before

After

Before Root Canal treatment
After Root Canal treatment

Before

After

Before Root Canal treatment
After Root Canal treatment

Before

After

Before Root Canal treatment
After Root Canal treatment

Before

After

Before Root Canal treatment
After Root Canal treatment

Jonathan Murgraff © 2018 | Website by JCreate Design